炎症性肠病(IBD)是一种慢性肠道炎症性疾病,主要包括克罗恩病(CD)和溃疡性结肠炎(UC)。其中,克罗恩病常导致肠道纤维化,进而形成狭窄,严重影响患者的生活质量。肠道纤维化的发病机制复杂,涉及多种细胞和分子机制,尤其是成纤维细胞的代谢重编程在其中扮演关键角色。近年来,非编码RNA在器官纤维化中的调控作用逐渐受到关注,但其在克罗恩病肠道纤维化中的具体作用尚不清楚。
研究背景
炎症性肠病(IBD)是一种慢性肠道炎症性疾病,主要包括克罗恩病(CD)和溃疡性结肠炎(UC)。其中,克罗恩病常导致肠道纤维化,进而形成狭窄,严重影响患者的生活质量。肠道纤维化的发病机制复杂,涉及多种细胞和分子机制,尤其是成纤维细胞的代谢重编程在其中扮演关键角色。近年来,非编码RNA在器官纤维化中的调控作用逐渐受到关注,但其在克罗恩病肠道纤维化中的具体作用尚不清楚。
2025年12月,Gut杂志发表了一篇题为“Fibroblast Pentose Phosphate Pathway Activation Upon Decreased circPLCE1Exacerbates Intestinal Fibrosis In Crohn's Disease”的文章,揭示了成纤维细胞中circPLCE1/XYLB/Xu5P轴在克罗恩病肠道纤维化中的重要作用,为该领域的研究提供了新的方向。

研究方法
本研究是一项多组学研究,旨在探索克罗恩病肠道纤维化过程中成纤维细胞的代谢重编程及其上游调控因子。研究纳入了30对克罗恩病患者的狭窄段(CDS)和非狭窄段(CDNS)肠组织样本,以及6对单细胞RNA测序样本和4对空间转录组样本。此外,还使用了DSS诱导的小鼠肠道纤维化模型进行体内验证。研究通过非靶向代谢组学分析鉴定出119种显著失调的代谢物,其中116种上调,3种下调。单细胞RNA测序分析了来自CDNS和CDS组织的12种主要细胞类型,发现成纤维细胞的PPP(戊糖磷酸途径)评分显著升高。空间转录组分析进一步确认了PPP在CDS中的富集,尤其是在黏膜和黏膜下层。通过circRNA转录组分析,研究发现circPLCE1在成纤维细胞中显著下调,并通过一系列体外和体内实验验证了其对PPP的调控作用。
研究结果
▌PPP在克罗恩病肠道纤维化中的激活
研究发现,在克罗恩病患者的狭窄段(CDS)与非狭窄段(CDNS)组织中,PPP(戊糖磷酸途径)相关代谢物显著增加。例如,木酮糖-5-磷酸(Xu5P)在CDS中的水平比CDNS高出2.049倍(P<0.001)。Xu5P水平还与纤维化评分(相关系数0.570,P<0.01)、标准化磁化转移比(MTR,相关系数0.640,P<0.001)及肠壁厚度(BWT,相关系数0.826,P<0.001)密切相关。这表明PPP的激活与肠道纤维化的严重程度直接相关,提示PPP在肠道纤维化中可能起到关键作用。此外,单细胞RNA测序显示,成纤维细胞是PPP激活的主要细胞类型(图1),这为后续研究提供了重要的细胞靶点。
.jpg)
图1 各细胞亚型PPP特征评分的箱线图
▌Xu5P通过表观遗传学机制促进胶原基因转录
实验表明,Xu5P能够显著促进成纤维细胞中胶原基因(如Col1A1)的转录。通过ATAC-seq分析,研究发现Xu5P处理的细胞中胶原基因启动子区域的染色质可及性显著增加,这意味着基因更容易被转录。具体机制是Xu5P增加了H3K27乙酰化(H3K27ac),同时减少了抑制基因表达的H3K27三甲基化(H3K27me3)。这种表观遗传学改变直接促进了胶原基因的转录,导致细胞外基质过度合成。在体内实验中,Xu5P处理的小鼠在DSS诱导的肠道纤维化模型中表现出更严重的胶原沉积和纤维化加重(图2),进一步证实了Xu5P的促纤维化作用。
.jpg)
图2 DSS诱导纤维化模型中Xu5P注射对小鼠体重的影响及结肠组织的病理染色结果
▌circPLCE1的下调与PPP激活密切相关
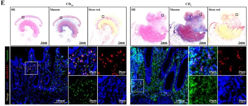
circRNA转录组分析发现,circPLCE1在CDS组织中显著下调,且与Xu5P水平呈负相关(相关系数-0.790,p<0.001)。荧光原位杂交(FISH)显示,circPLCE1主要定位于成纤维细胞,且在CDS中表达减少(图3)。此外,circPLCE1的下调与纤维化评分、MTR及BWT均呈负相关,提示circPLCE1可能通过抑制PPP激活来抑制肠道纤维化。进一步的机制研究表明,circPLCE1能够直接结合XYLB的I结构域,并竞争性抑制其酶活性,从而减少Xu5P的生成,抑制PPP激活。
.jpg)
图3 CDNS(左)和CDS(右)的FISH图像,显示DAPI(蓝色)、circPLCE1(红色)和波形蛋白(绿色)
▌circPLCE1敲低加剧肠道纤维化
在体外实验中,敲低circPLCE1的成纤维细胞表现出更高的细胞外基质沉积。在体内实验中,成纤维细胞特异性circPLCE1敲低(circPLCE1Fib-KD)小鼠在DSS诱导的纤维化模型中表现出更严重的体重下降、肠缩短和胶原沉积。转录组分析显示,circPLCE1Fib-KD小鼠的结肠组织中与细胞外基质组织、胶原代谢和纤维化相关的基因显著上调。这些结果表明,circPLCE1的下调通过激活PPP和促进胶原基因转录加剧肠道纤维化。
▌XYLB是circPLCE1调控PPP的关键靶点
研究通过一系列体外和体内实验验证了XYLB在circPLCE1调控PPP中的关键作用。在circPLCE1敲低的成纤维细胞中,抑制XYLB能够逆转胶原沉积的增加,并降低NADPH和谷胱甘肽水平,抑制PPP和糖酵解。在体内试验中,通过AAV病毒介导的XYLB敲低能够显著缓解circPLCE1Fib-KD小鼠的肠道纤维化。这些结果表明,XYLB是circPLCE1调控PPP和肠道纤维化的关键下游靶点。
▌circPLCE1/XYLB/Xu5P轴的临床意义
研究揭示了circPLCE1/XYLB/Xu5P轴在克罗恩病肠道纤维化中的调控机制。circPLCE1的下调通过激活XYLB和增加Xu5P水平促进PPP激活,进而通过表观遗传学机制增强胶原基因转录,加剧肠道纤维化。这一发现不仅为克罗恩病肠道纤维化的发病机制提供了新的见解,还为开发新的治疗靶点提供了理论依据。circPLCE1和Xu5P作为潜在的生物标志物,可能有助于早期诊断肠道纤维化并监测疾病进展。未来的研究应进一步探索circPLCE1的上游调控机制,并在更大的患者队列中验证其临床应用价值。
总结
本研究通过多组学分析揭示了circPLCE1/XYLB/Xu5P轴在克罗恩病(CD)肠道纤维化中的关键调控作用。研究发现,PPP在成纤维细胞中显著激活,且circPLCE1通过直接结合并抑制XYLB活性来调控PPP,进而影响肠道纤维化。这一发现不仅填补了非编码RNA在克罗恩病纤维化研究中的空白,还提出了Xu5P和circPLCE1作为潜在生物标志物的应用前景,为早期诊断和治疗提供了新方向。然而,研究的局限性包括样本来源的局限性以及对circPLCE1上游调控机制的不明确,未来需进一步探索其在溃疡性结肠炎(UC)中的作用及更接近人类病理过程的动物模型。
参考文献
ZHOU L, NIE J, FENG Z,et al. Fibroblast pentose phosphate pathway activation upon decreased circPLCE1 exacerbates intestinal fibrosis in Crohn's disease[J]. Gut,2025:gutjnl-2025-336415.DOI:10.1136/gutjnl-2025-336415.
“医学论坛网”发布医学领域研究成果和解读,供专业人员科研参考,不作为诊疗标准,使用需根据具体情况评估。
copyright©医学论坛网 版权所有,未经许可不得复制、转载或镜像
京ICP证120392号 京公网安备110105007198 京ICP备10215607号-1 (京)网药械信息备字(2022)第00160号